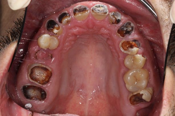
32-річний Майкл Шерідан випивав шість літрів солодкої газованої води в день і через це позбувся практично всіх зубів.
Як повідомляє The Sun, йому довелося видалити 27 знилих повністю зубів і замінити їх протезами.
Останнім часом чоловікові доводилося їсти тільки рідку їжу, бо його турбував постійний зубний біль.
Стоматолог і друг Майкла був настільки шокований станом чоловіка, що вирішив допомогти йому безкоштовно та провів операцію вартістю 50 тис. євро (1 млн 769 тис. гривень).
“Я був залежний від газованих напоїв. Я випивав шість літрів або більше в день. У мене завжди була пляшка газованої води в руці”, – говорить Майкл.
“Я знав, що якби я пішов до стоматолога, мені довелося б припинити пити газовані напої, і я не хотів цього робити. Я також знав, що всі мої зуби повинні будуть видалити, і я не міг дозволити собі це фінансово”, – додає Майкл.
Його друг-стоматолог Девід Морган був настільки стурбований здоров’ям приятеля, що запропонував свої послуги безкоштовно: “Я знав, що його зуби є серйозною загрозою для його здоров’я. Він не міг правильно пережовувати свою їжу, він не міг вкусити навіть бутерброд, як більшість людей, і щодня йому було боляче”.
Солодкі напої пригнічували апетит і Майкл харчувався йогрутом один раз у день.
Після процедури видалення Девід вставив зубні протези пацієнту, щоб дати час зажити яснам Майкла. У квітні йому встановлять імпланти, а також мости.
Відтоді Майкл не вживає солодку газовану воду. У цьому йому допомагають психологи та дієтологи.






